LEAD Toxicity
Lead has been mined and used in industry and in household products for centuries. The dangers of lead toxicity, the clinical manifestations of which are known as plumbism, have been known since ancient times. The twentieth century has seen both the greatest-ever exposure of the general population to lead and an extraordinary amount of new research on lead toxicity.
Tests for levels of lead in blood have facilitated both research on lead and surveillance of individuals at risk. Measurement of the blood lead levels of children 6 months to 5 years of age is currently mandated by some states in U.S., and the U.S. Occupational Safety and Health Administration (OSHA) requires the testing of workers who may be exposed to lead in the course of their jobs. |
METABOLISM
| Elemental lead and inorganic lead compounds are absorbed through ingestion or inhalation. Organic lead (e.g., tetraethyl lead, the lead additive to gasoline) is absorbed to a significant degree through the skin as well.Pulmonary absorption is efficient, particularly if particle diameters are <1 um (as in fumes from burning lead paint).Children absorb up to 50 percent of the amount of lead ingested, whereas adults absorb only about 10 to 20 percent.Gastrointestinal absorption of lead is enhanced by fasting and by dietary deficiencies in calcium, iron, and zinc.Lead is absorbed into blood plasma, where it equilibrates rapidly with extracellular fluid, crosses membranes (such as the blood-brain barrier and the placenta), and accumulates in soft and hard tissues. In the blood, around 95 to 99 percent of lead is sequestered in red cells, where it is bound to hemoglobin and other components. As a consequence, lead is usually measured in whole blood rather than in serum.The largest proportion of absorbed lead is incorporated into the skeleton, which contains more than 90 percent of the body’s total lead burden.Lead is excreted mainly in the urine (in a process that depends on glomerular filtration and tubular secretion) and in the feces.
Lead also appears in hair, nails, sweat, saliva, and breast milk. The half-life of lead in blood is approximately 25 days; in soft tissue, about 40 days; and in the nonlabile portion of bone, more than 25 years. Thus, blood lead levels may decline significantly while the body’s total burden of lead remains heavy. The toxicity of lead is probably related to its affinity for cell membranes and mitochondria, as a result of which it interferes with mitochondrial oxidative phosphorylation and sodium, potassium, and calcium ATPases. Lead impairs the activity of calcium-dependent intracellular messengers and of brain protein kinase C. In addition, lead stimulates the formation of inclusion bodies that may translocate the metal into cell nuclei and alter gene expression. |
CLINICAL FEATURES
Symptomatic lead poisoning in childhood generally develops at blood lead levels exceeding 3.9 umol/L (80 ug/dL) and is characterized by: Abdominal pain and irritability followed by lethargy, anorexia, pallor (resulting from anemia), ataxia, and slurred speech. Convulsions, coma, and death due to generalized cerebral edema and renal failure occur in the most severe cases. Subclinical lead poisoning [blood lead level >1.4 umol/L (> 30 u g/dL)] can cause mental retardation and selective deficits in language, cognitive function, balance, behavior, and school performance despite the lack of discernible symptoms. In adults, symptomatic lead poisoning usually develops when blood lead levels exceed 3.9 umol/L (80 ug/dL) for a period of weeks and is characterized by: Abdominal pain, headache, irritability, joint pain, fatigue, anemia, peripheral motor neuropathy, and deficits in short-term memory and the ability to concentrate.Encephalopathy is rare. A “lead line” sometimes appears at the gingiva-tooth border after prolonged high-level exposure.Chronic subclinical lead exposure is associated with interstitial nephritis, tubular damage (with tubular inclusion bodies), hyperuricemia (with an increased risk of gout), and a decline in glomerular filtration rate and chronic renal failure.An additional issue for both children and adults is whether lead that has accumulated in bone and lain dormant for years can pose a threat later in life, particularly at times of increased bone resorption such as pregnancy, lactation, and senile osteoporosis. Elevation of the bone lead level appears to be a risk factor for anemia and hypertension. Hyperthyroidism has been reported to cause lead toxicity in adults by mobilizing stores of bone lead acquired during childhood. |
LABORATORY FINDINGS
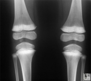
Regular measurement of blood lead in lead-exposed workers and the maintenance of blood lead levels below 1.9 umol/L (40 ug/dL) is advised.Lead-associated anemia is usually normocytic and normochromicand may be accompanied by basophilic stippling. Lead-induced peripheral demyelination is reflected by prolonged nerve conduction time and subsequent paralysis, usually of the extensor muscles of the hands and feet –wrist and foot drop. An increased density at the metaphyseal plate of growing long bones (“lead lines”) can develop in children and resemble those seen in rickets. Children with high-level lead exposure sometimes develop Fanconi’s syndrome, pyuria, and azotemia.Adults chronically exposed to lead can develop elevated serum creatinine levels, decreased creatinine clearance rates, and chronic changes and intranuclear inclusion bodies (detected at renal biopsy). ![]() |
TREATMENT
| Treatment for lead toxicity involves the use of chelating agents, principally edetate calcium disodium (CaEDTA), dimercaprol, penicillamine, and succimer, which is given orally. |
—
ability to concentrate.Encephalopathy is rare. A “lead line” sometimes appears at the gingiva-tooth border after prolonged high-level exposure.Chronic subclinical lead exposure is associated with interstitial nephritis, tubular damage (with tubular inclusion bodies), hyperuricemia (with an increased risk of gout), and a decline in glomerular filtration rate and chronic renal failure.An additional issue for both children and adults is whether lead that has accumulated in bone and lain dormant for years can pose a threat later in life, particularly at times of increased bone resorption such as pregnancy, lactation, and senile osteoporosis. Elevation of the bone lead level appears to be a risk factor for anemia and hypertension. Hyperthyroidism has been reported to cause lead toxicity in adults by mobilizing stores of bone lead acquired during childhood.
1.9 umol/L (40 ug/dL) is advised.Lead-associated anemia is usually normocytic and normochromicand may be accompanied by basophilic stippling. Lead-induced peripheral demyelination is reflected by prolonged nerve conduction time and subsequent paralysis, usually of the extensor muscles of the hands and feet –wrist and foot drop. An increased density at the metaphyseal plate of growing long bones (“lead lines”) can develop in children and
resemble those seen in rickets. Children with high-level lead exposure sometimes develop Fanconi’s syndrome, pyuria, and azotemia.Adults chronically exposed to lead can develop elevated serum creatinine levels, decreased creatinine clearance rates, and chronic changes and intranuclear inclusion bodies (detected at renal biopsy). 