Gums Diseases |
Health of gums is a very important aspect of general health. Diseases of gums do have profound effect on the general health of an individual.
Periodontal disease is better known as gum disease. In the next millennium periodontal disease is
going to be the most common dental problem. 90 % of the adults above 40 are affected by one or the other form of periodontal disease.
Periodontal disease affects the gums and other supporting structures of the teeth.
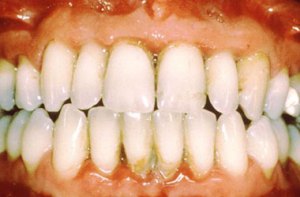
Gingivitis, the early stage of gum disease, starts with plaque which is a soft, sticky and colourless film of bacteria that forms on the teeth. If not removed from time to time the bacterial plaque can release toxins and enzyme that irritate and inflame the gum tissues. Gums then become swollen, red, sensitive and can bleed painfully.
In its more advanced stage the disease affects the bone and other supportive structures and is known as Periodontitis. This happens when the plaque responsible for the gingivitis is not removed and hardens around the gums line and forms Tartar. The Tartar causes inflammation which causes space between the gum and the teeth. It starts eating out the underlying bone and ultimately the tooth loosens its hold and fall out itself.
Red, swollen tender gums which bleed on brushing indicate Gingivitis.
- Smokers are 3.3 times more likely to suffer advanced Periodontitis than the non-smokers.
- Pregnant females with periodontal diseases are more likely to deliver premature low birth weight infants than those without it.
- Many recent studies have suggested connection between periodontal diseases and cardiovascular diseases.
Signs of Periodontitis:
- Pus between gums and teeth.
- Loose teeth.
- Bad breath.
For healthy gums:
- Brush twice a day.
- Floss after meals.
- Gargle with mouthwashes containing chlorhexidine.
Researchers are developing a genetically-altered bacteria to squirt in people’s mouths to combat tooth decay !! |