Dementia

All of us gradually slow down both physically and mentally with the passage of time as we get older.
There is a difference between occasional forgetfulness and many diseases which are cause of Dementia. Some indications are helpful in differentiating the conditions.
Dementia is a clinical syndrome characterized by loss of previously acquired intellectual functions in the absence of impairment of consciousness.
The term dementia is mostly associated with elderly but some disorders occur in the mid life which have Dementia as a prominent feature. Such diseases are also collectively called Pre-senile Dementia and these diseases also have a strong familial disposition.
Main features of Dementia
- Loss of general intelligence
- Memory impairment
- Personality changes
- Emotional changes
Loss of general intelligence:
Judgment and problem solving ability is reduced. Thinking is slow.
Memory impairment:
Minor degree of memory impairment is often the first sign of this disease. Forgetfulness in relation to day to day work and concerning personal possessions is prominent. People’s names are forgotten, appointments are missed. Declining memory may lead to secondary delusions.
Personality changes:

Decline in personal manner and social awareness. Behavior may become rude, tactless, and may be insensitive to feeling of others. Episodes of aggression, sexual indiscretion or even infringement of law may be seen. Deterioration in personal hygiene, urinary and fecal incontinence are common. General decline in interest of the surroundings. Patient may sit for hours without initiating any purposeful activity.
Emotional changes: Mood changes, depression, anxiety, irritability may be prominent in the early stages. In advanced dementia the emotional reaction may be blunted and patients becomes incapable of responding to emotionally charged events in their environment.
Things to look for:
- Family history: Some diseases run in families. Some diseases have genetic predisposition.
- Signs of memory loss and language difficulties. Is the person losing words, or forgetting the names of common objects? Has he or she forgotten how to do simple mathematics?
- Is the loss of memory for recent events only?
- Confusion and loss of attention span. Is the person unable to focus on a normal conversation?
- Inappropriate behaviour and impaired judgment. If the person begins to act inappropriately or significantly out of character in social situations.
- Physical coordination problems and physical confusion. People with senile dementia often forget how to do simple learned tasks that have been part of their daily life for many years.
Talking to the person and taking detailed history helps in differentiating and diagnosing the cause of dementia.
Causes of Dementia
Degenerative diseases:
- Alzheimer’s disease
- Parkinson’s disease
- Huntington’s chorea
- Creutzfeldt-Jacob disease
- Pick’s disease
Space occupying lesions:
- Cerebral tumour
- Subdural haematoma
Infections:
AIDS, Cerebral syphilis, Viral encephalitis
Others:
Post Traumatic dementia, Boxer’s encephalopathy, Secondary to Head Injury. Chronic Traumatic Encephalopathy
Cerebrovascular disease, Cerebral emboli.
Hypothyroidism, Hypopituitarism.
Liver disease, Renal failure, Alcoholism
Vitamin deficiency: Folic acid, B12

Cerebrovascular dementia: CT brain scan showing multiple diffuse areas of cerebral infarction.

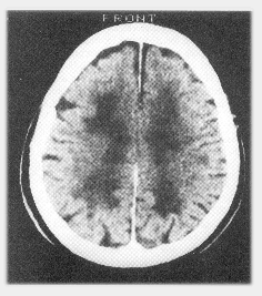
Alzheimer's disease: CT scan of brain showing cortical atrophy, widened sulci, and enlarged lateral ventricles.
Drug Therapy in Dementia
Dementia is a complex disorder which causes impairment in all areas of mental functions
- Memory and intellectual impairment ( cognitive )
- Anxiety and depression ( mood )
- Paranoia and Hallucination ( perception )
- Agression or withdrawal.
Various neurotransmitters are said to be involved in the causation of Dementia –
- Acetylcholine
- Dopamine
- Serotonin
Drugs for Cognitive and functional impairments in Dementia
These drugs increase the availability of Acetylcholine.
Tacrine
Rivastigmine
Donepezil
Newer drugs in future – Venlacrine,Galanthamine,Hyperazine.
Brain blood flow enhancers
These drugs increase blood perfusion and redistribute blood in the deficient areas.
Cyclandelate
Hydergine
Miscellaneous Drugs
Piracetam – a metabolic enhancing agent of the brain.
Selgilne- a MAOinhibitor, which is used in Parkinson’s disease is also useful in Alzheimer’s disease.
Aspirin and Other Anti inflammatory agents (NSAIDS) have also been shown to slow down the process of dementia.
Oestrogen replacement therapy may be helpful in postmenopausal women with dementia.
Ginkgo biloba
Brahmi
Ashwagandha
Researchers found that taking vitamins C and E might help protect the aging
mind from decline in cognitive function, and some kinds of dementia.
Chronic Traumatic Encephalopathy Inability to detect Sarcasm may be early sign