| Chewing Tobacco | |
| Apart from Smoking, Tobacco is taken in various other forms: Tobacco with betel leaves, Chewing tobacco (khaini), Guthkha, Tobacco snuff. | |
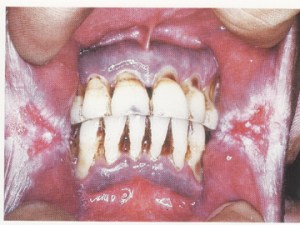
People who chew tobacco for many years are 50 times more likely to get oral cancer, gum disease and lose their teeth than people who do not chew.The risk of other cancers, heart disease, and ulcerative colitis is 50-70% higher among chewers.Nicotine addiction and dependence is also very real with chewing tobacco. Nicotine addiction leads to increased heart rate and blood pressure. Nicotine constricts the blood vessels and limits oxygen supply throughout the body.Chewing tobacco leaves irritating juices in contact with gums, cheeks and lips for prolonged periods of time. This can lead to a condition called leukoplakia which appears as a smooth, white patch or as leathery-looking wrinkled skin.Oral leukoplakic lesions have been seen upon continued use of tobacco use, which undergo transformation to a dysplastic state. The dysplastic lesions can further develop into carcinomas.Tobacco chewing leads to:
The potent carcinogens found in snuff and chewing tobacco include nitrosamines, polycyclic aromatic Oral lesions caused by chewing tobacco rarely cause pain and thus such persons should regularly undergo dental checkups. Some of the danger signs in those who chew tobacco:
More Dangers of Chewing Tobacco Hazards
|
|
![]() |
![]() |
Smoking Tobacco Facts
|
|
their teeth than people who do not chew.The risk of other cancers, heart disease, and ulcerative colitis is 50-70% higher among chewers.Nicotine addiction and dependence is also very real with chewing tobacco. Nicotine addiction leads to increased heart rate and blood pressure. Nicotine constricts the blood vessels and limits oxygen supply throughout the body.Chewing tobacco leaves irritating juices in contact with gums, cheeks and lips for prolonged periods of time. This can lead to a condition called leukoplakia which appears as a smooth, white patch or as leathery-looking wrinkled skin.Oral leukoplakic lesions have been seen upon continued use of tobacco use, which undergo transformation to a dysplastic state. The dysplastic lesions can further develop into carcinomas.Tobacco chewing leads to:
hydrocarbons, and radiation-emitting polonium.

