Pick’s Disease
Synonym: Primary Progressive Aphasia
Arnold Pick, first described the disease in 1892
Pick’s disease is a rare disorder that affects the frontal and temporal lobes of the brain, which control speech and personality. These areas of brain undergo slow atrophy. It is therefore classified as a Frontotemporal dementia. 
Pick’s disease is a rare and permanent form of dementia that is similar to Alzheimer’s disease, except that it tends to affect only certain areas of the brain.
In Alzheimer’s disease memory loss is the predominate and early sign.
Patients with Pick’s initially exhibit marked personality and behavioural changes, and then a decline in the ability to speak coherently.
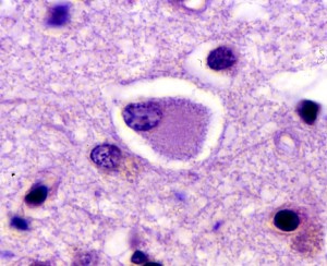
This disease is the result of a build-up of protein in the affected areas of the brain. The accumulation of abnormal brain cells, known as Pick Cells or Pick’s bodies, eventually leads to changes in character, socially inappropriate behaviour, and poor decision making, progressing to a severe impairment in intellect, memory and speech.

Pick Cells have characteristic of ballooned neurons with dissolution of chromatin.
Age of onset is between 40 and 60.
Frontal lobes of brain are responsible for rational emotional responses and the way we act in response to the world around us. In Pick’s Disease it is these frontal lobes that are involved in the disease process. These areas of brain are also responsible for speech and the use of language. As Pick’s disease involves this area of the brain these thinking processes are abnormal in the patients of Pick’s disease.
The earliest symptoms are usually changes in behaviour, mood, or personality. The person does not behave his or her usual self.
Some specific features:
- Impulsivity and poor judgment in usually cautious person.
- Sexual exhibitionism or promiscuity
- Repetitive or obsessive behaviour
- Rudeness, impatience, or aggression
- Easily distracted; poor attention span
- Lack of warmth, concern, or empathy
- Loss of vocabulary, Speech problems: The person may have trouble finding the right word. His or her sentences may be incomplete or organized strangely.
- Difficulty speaking or understanding speech.
- Repeating words others say.
- Weak, uncoordinated speech sounds.
- Decrease in ability to read or write.
- Complete loss of speech.
- Changes in eating habits: The person may begin overeating, eating greedily, eating excessive amounts of sweets, or drinking large amounts of alcohol. He or she may gain weight.
Diagnosis
Only way to diagnose definitely is by a Biopsy of brain tissue. This can be done by a neurosurgeon. Otherwise the disease can be suspected on the basis of symptoms.
Single-photon emission computed tomography (SPECT) or positron-emission tomography (PET) scan: This scans are used in certain cases when the diagnosis is doubtful. They are especially good at detecting abnormal brain function. SPECT and PET scans are available only at some large medical centres.
Brain specimens showing Frontal Lobes thinning in Pick's Disease


–
–
–
There is no cure for Pick disease. Treatment for the patients of this disease can be aimed at improving behaviour and mood problems and relieving other symptoms. For example, a speech therapist may be able to help the person improve his or her ability to communicate. Medication is helpful in many patients in easing mood and emotional difficulties.
Dementia Parkinson’s Disease Alzheimer’s disease